歯列矯正モニター価格で歯並びの治療をされたい方にモニターの料金や条件のご説明をいたします。
歯列矯正モニターに使用する装置は2種類です。スタンダード装置と審美装置の2種類になります。

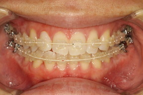
歯並びを矯正治療で行う場合、お写真のような装置を使用します。
矯正装置と調整料、リテーナー(矯正後の後戻りを防止する装置)、コルチコトミー法、矯正用マイクロインプラントの料金の総額が¥398,000-(税別)です。
矯正の検査代だけは別で¥30,000-(税別)かかります。

審美装置の場合はワイヤーが白くなりますのでより目立ちにくくなります。
料金が10万円上がって総額¥498,000-(税別)となります。
矯正の検査代だけは別で¥30,000-(税別)かかります。
歯列矯正モニターを希望される方は下記の条件で可能な方に限りますのでご確認ください。
歯列矯正モニターを希望される方はただいま無料カウンセリングを行っております。無料カウンセリングはご予約制となりますのでご予約をお取りいただいた上でご来院ください。
無料カウンセリングお問い合わせ
神田ふくしま歯科
東京都千代田区神田鍛冶町3-2-6F スターバックス上
JR神田駅北口より徒歩1分 (東京駅の隣の駅です。)
0120-25-1839
03-3251-3921
~矯正治療の注意~
ご存知の方も多いと思いますが、矯正治療は保険外診療となります。当院では、モニター料金で全体的の矯正治療を行う場合、検査代3万円(税別)と矯正費用総額¥398,000-(税別)がかかります。
また、終了期間はおおよその目安となります。歯の動き等によって期間に個人差があります。期間の保証するものではありません。
なんでもっと早くに歯並び治療をしようと思わなかったのですか?
歯医者さんにお越しの方の中には短期間に歯並びを治したい。。とお考えの方も多いようですが、治療はお体の状態によっても治療期間が変わることもありますので、できれば余裕をもって治療を開始されることをお勧めしております。
ただ、やはり、何としてでも歯並びを結婚式までに何とかしたい、、就職までに何とかしたい、、3か月後に迫っているとかどうしても短期間に何とかしたいというご希望はしょうがないと思います。記念日は何度もないですから、後悔したくないとお考えになってもおかしくない、むしろ普通なのかと思います。
どこまで短期間に治療をする必要があるのかで、治療方法が変わってきます。たとえば1か月であればセラミックで歯並びを変える方法を選択する必要があります。2か月あれば部分矯正で凸凹を取ることぐらいはできます。3か月あればマウスピースで治すことも可能な場合もあります。6か月あれば簡単な全体矯正も可能なばあいもあります。
また、歯を削りたくないので矯正をしたいけど、短期間にやりたいというご希望の方は、スピード矯正法という方法もあります。
通常、歯並び治療を行うとき、矯正治療を選択されるばあい、矯正治療は通常2年ほどかかってしまいます。
スピード矯正法は、矯正の期間を短縮する方法です。コルチコトミーという外科的なことを行うことで、歯の周囲の骨が活性化し、歯の移動スピードが速くなります。通常歯の移動スピードが2〜3倍になります。
矯正方法は通常の方法と同様に行います。装置を付けて矯正しても、マウスピースで矯正をしても歯の移動は早くなります。
歯並び治療の詳しい内容・治療例は下記のページに詳しく説明させて頂いております.クリックしてご覧ください.
歯並びのページ
また、歯並び治療を希望される方は無料カウンセリングを行っておりますのでご利用ください.無料カウンセリングにて治療方法のご説明、お見積もりのお渡しをいたします.
無料カウンセリングお問い合わせ
神田ふくしま歯科
東京都千代田区神田鍛冶町3−2−6F スターバックス上
JR神田駅北口より徒歩1分 (東京駅の隣の駅です。)
0120−25−1839
矯正料金を格安で行いたい場合はモニター料金があります.
前歯の歯並びだけを短期間に治したいという方の部分矯正治療モニターのご紹介です.
ご紹介のケースは前歯の部分矯正をスピード矯正法で行ったケースです.
結婚式に間に合うように1ヶ月の治療で並べました.このように、歯を削って審美歯科治療を行いたくない方の歯並び治療の選択肢の一つになるかと思います。
料金は税込みで¥207,800−となります.
